🔴 U NANG BUỒNG TRỨNG “KHỔNG LỒ” Ở CÔ GÁI 22 TUỔI – PHÁT HIỆN TÌNH CỜ, XỬ TRÍ KỊP THỜI, BẢO TỒN KHẢ NĂNG SINH SẢN

  Thứ 6, ngày 03/04/2026

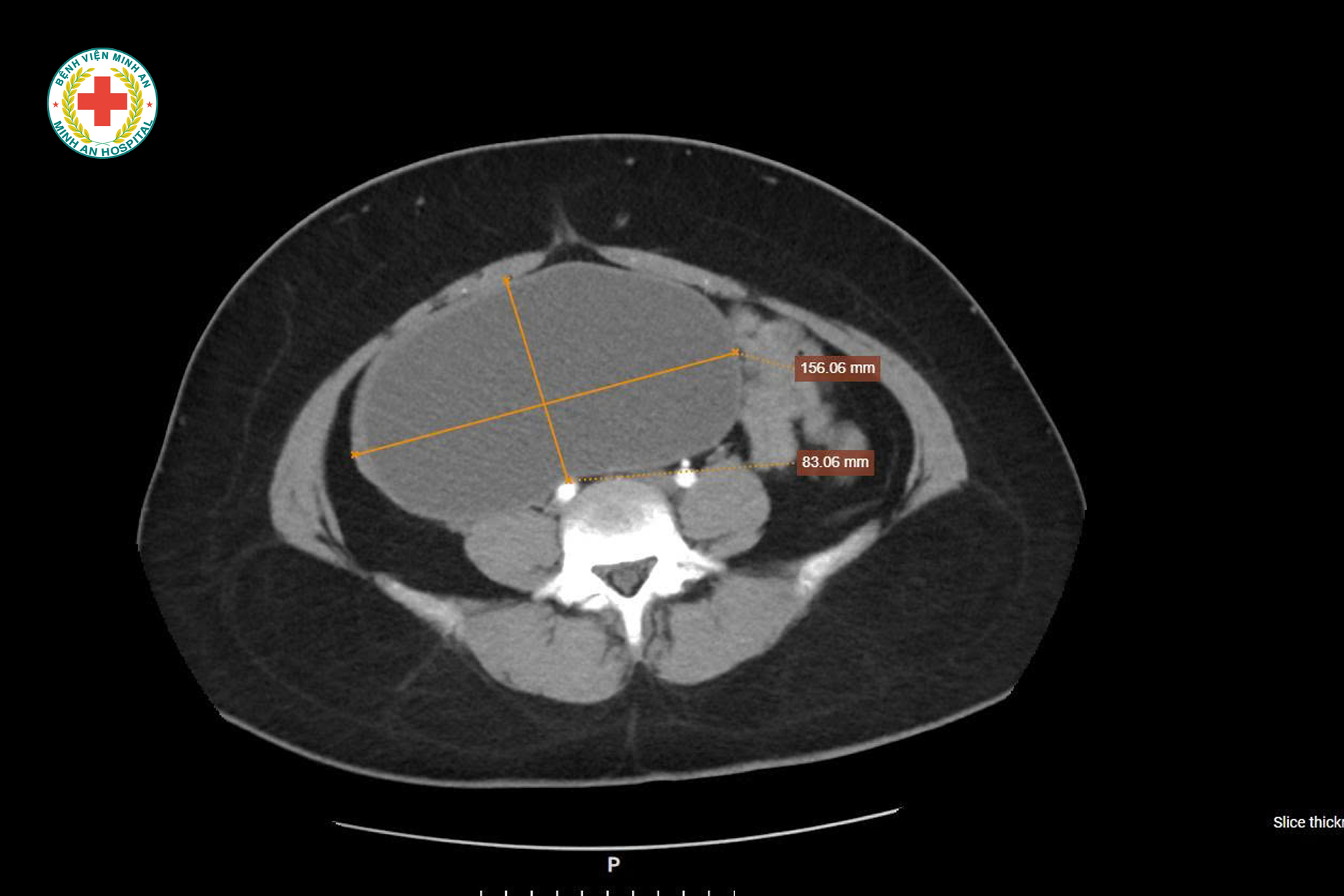
Khoa Sản – BVĐK Minh An vừa tiếp nhận tiếp nhận một trường hợp đặc biệt: U nang buồng trứng kích thước rất lớn, tương đương thai khoảng 20 tuần tuổi, người bệnh gần như không có triệu chứng rõ ràng, chỉ xuất hiện ra máu bất thường ngoài chu kỳ. Điều đáng chú ý là bênh nhân mới 22t, chưa từng sinh nở.

Thực hiện thành công ca mổ cắt khối tá tụy (Whipple) – Một trong những phẫu thuật phức tạp nhất ổ bụng

  Thứ 5, ngày 08/01/2026

Vừa qua, Bệnh viện Đa khoa Minh An đã thực hiện thành công ca phẫu thuật cắt khối tá tụy (Whipple) cho người bệnh N.V.S (77 tuổi). Đây là một trong những can thiệp ngoại khoa phức tạp hàng đầu trong phẫu thuật ổ bụng, đòi hỏi trình độ chuyên môn cao, kinh nghiệm dày dặn và sự phối hợp chặt chẽ, nhịp nhàng giữa nhiều chuyên khoa trong toàn bộ quá trình từ chẩn đoán, gây mê, phẫu thuật đến chăm sóc hậu phẫu.

Siêu âm 5D thai nhi – Yêu ngay từ cái nhìn đầu tiên

  Thứ 5, ngày 25/12/2025

Mỗi lần đầu dò siêu âm nhẹ nhàng lướt qua bụng mẹ, là một lần cả gia đình được “nhìn thấy” điều quý giá nhất: gương mặt bầu bĩnh, chiếc mũi xinh, đôi môi chúm chím, từng biểu cảm rất thật của con yêu…

Đầu tư hệ thống chụp cắt lớp vi tính (CT) 128 lát cắt GE Healthcare: Nâng tầm chẩn đoán hình ảnh

  Thứ 5, ngày 18/12/2025

Nhằm nâng cao chất lượng khám chữa bệnh và tăng độ chính xác trong chẩn đoán, Bệnh viện Đa khoa Minh An đã đầu tư, lắp đặt và đang hoàn tất các bước kiểm chuẩn – vận hành thử – đào tạo để đưa vào hoạt động hệ thống chụp cắt lớp vi tính (CT) 128 lát cắt của GE Healthcare.

Sàng lọc sơ sinh – Bố mẹ an tâm hơn trong hành trình nuôi con

  Thứ 3, ngày 16/12/2025

Chỉ một vài giọt máu gót chân, một vài phút kiểm tra nhẹ nhàng… nhưng có thể mở ra cho con cả một tương lai khỏe mạnh. Những ngày đầu đời, bé vẫn còn quá “im lặng” để nói cho bố mẹ biết con đang ổn hay không. Nhiều bệnh lý bẩm sinh không biểu hiện rõ ngay lúc mới sinh, nhưng nếu phát hiện muộn có thể ảnh hưởng đến thể chất, trí tuệ, thậm chí

Phẫu thuật thành công ca u tụy kích thước lớn – bảo tồn lách, người bệnh hồi phục tốt sau 1 tuần

  Thứ 3, ngày 16/12/2025

Có những cơn đau âm ỉ tưởng như “chỉ là dạ dày”… Nhưng phía sau những triệu chứng rất dễ bỏ qua như ợ hơi, ợ chua, đầy bụng, khó tiêu kéo dài đôi khi lại là một bệnh lý nghiêm trọng cần được phát hiện sớm.

Ca mổ đặc biệt đón bé 5,2 kg hiếm gặp tại BVĐK Minh An

  Thứ 6, ngày 12/12/2025

Khoa Sản – Bệnh viện Đa khoa Minh An vừa thực hiện thành công một ca phẫu thuật lấy thai đặc biệt cho sản phụ Nguyễn Thị M., với em bé chào đời nặng 5,2 kg – mức cân nặng hiếm gặp và có thể tiềm ẩn nhiều nguy cơ biến chứng cho cả mẹ và bé nếu không được theo dõi và xử trí kịp thời.

HƯỚNG DẪN NUÔI CON BẰNG SỮA MẸ – KHỞI ĐẦU TỐT NHẤT CHO BÉ YÊU

  Thứ 2, ngày 10/11/2025

Sữa mẹ là nguồn dinh dưỡng hoàn hảo và tự nhiên nhất dành cho trẻ sơ sinh. Không chỉ cung cấp đầy đủ năng lượng, vitamin, khoáng chất và kháng thể giúp bé tăng cường miễn dịch, sữa mẹ còn mang lại nhiều lợi ích cho cả mẹ:

MỘT TRƯỜNG HỢP CHẤN THƯƠNG PHỐI HỢP PHỨC TẠP ĐƯỢC XỬ TRÍ KỊP THỜI VÀ HIỆU QUẢ

  Thứ 4, ngày 24/09/2025

Trong số rất nhiều ca chấn thương khoa Ngoại – BVĐK Minh An tiếp nhận hằng tuần, có những trường hợp đòi hỏi không chỉ kiến thức chuyên môn sâu mà còn là sự phối hợp nhịp nhàng, thận trọng trong từng bước xử trí.

NỘI SOI CẮT HỚT NIÊM MẠC DẠ DÀY – HIỆU QUẢ TRONG ĐIỀU TRỊ SỚM UNG THƯ ĐƯỜNG TIÊU HOÁ

  Thứ 4, ngày 24/09/2025

“Nếu không kịp thời phát hiện các tổn thương và được xử trí can thiệp ít xâm lấn bằng nội soi, người bệnh có thể gặp bất lợi về sức khoẻ, giảm chất lượng cuộc sống, thậm chí ảnh hưởng trực tiếp đến tính mạng nếu bệnh tiến triển xấu”. Bs CKI Nguyễn Hồng Quân chia sẻ

SỎI TIẾT NIỆU (THẬN, NIỆU QUẢN, BÀNG QUANG…) CÓ THỂ GÂY NHỮNG BIẾN CHỨNG NGUY HIỂM NHƯ VIÊM ĐÀI BỂ THẬN, SUY THẬN…

  Thứ 3, ngày 16/09/2025

Khoa Ngoại – Bệnh viện Minh An vừa phẫu thuật thành công lấy sỏi san hô thận trái và sỏi lớn niệu quản trái cho NB L.T.N 58 tuổi (Quỳnh Lưu). NB chia sẻ: “đã bị sỏi thận khoảng 10 năm nay nhưng không theo dõi hay điều trị vì không thấy đau đớn nên chủ quan không tái khám”. Lần này nhập viện với tình trạng đau hông lưng trái và thỉnh thoảng tiểu buốt.

Đăng ký khám trực tuyến

Giảm ngay 10% khi đăng ký
cọc thai sản trọn gói

Đặt lịch hẹn khám

Bạn đang cần được tư vấn ?