
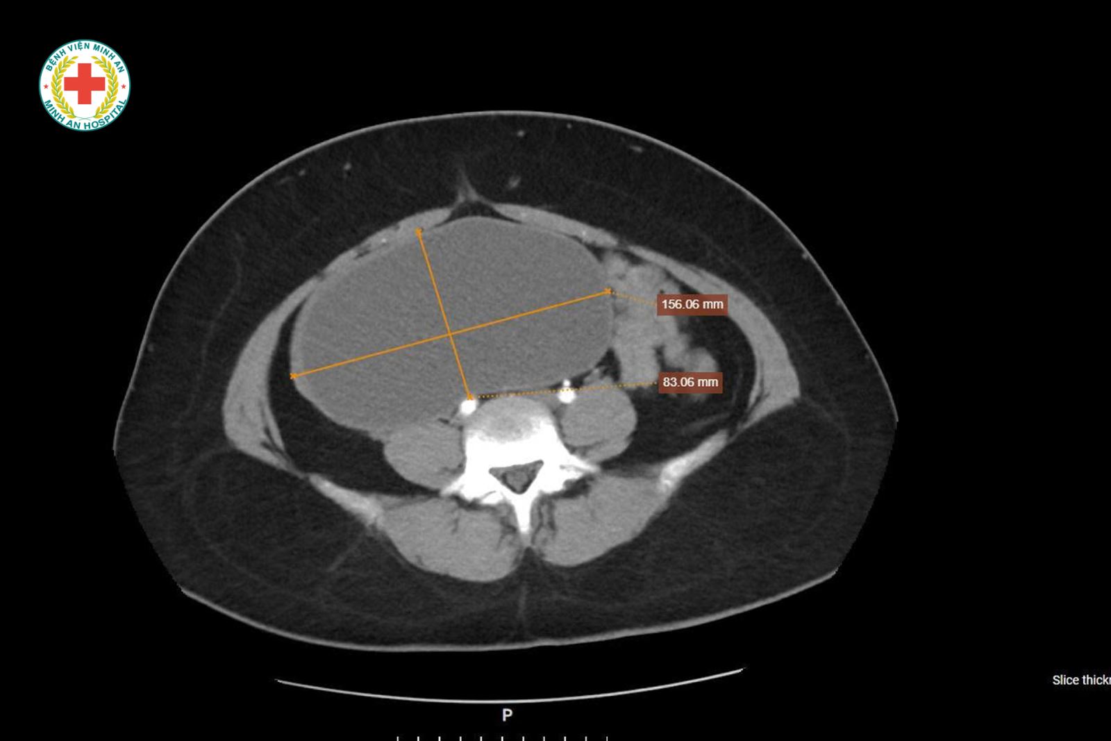
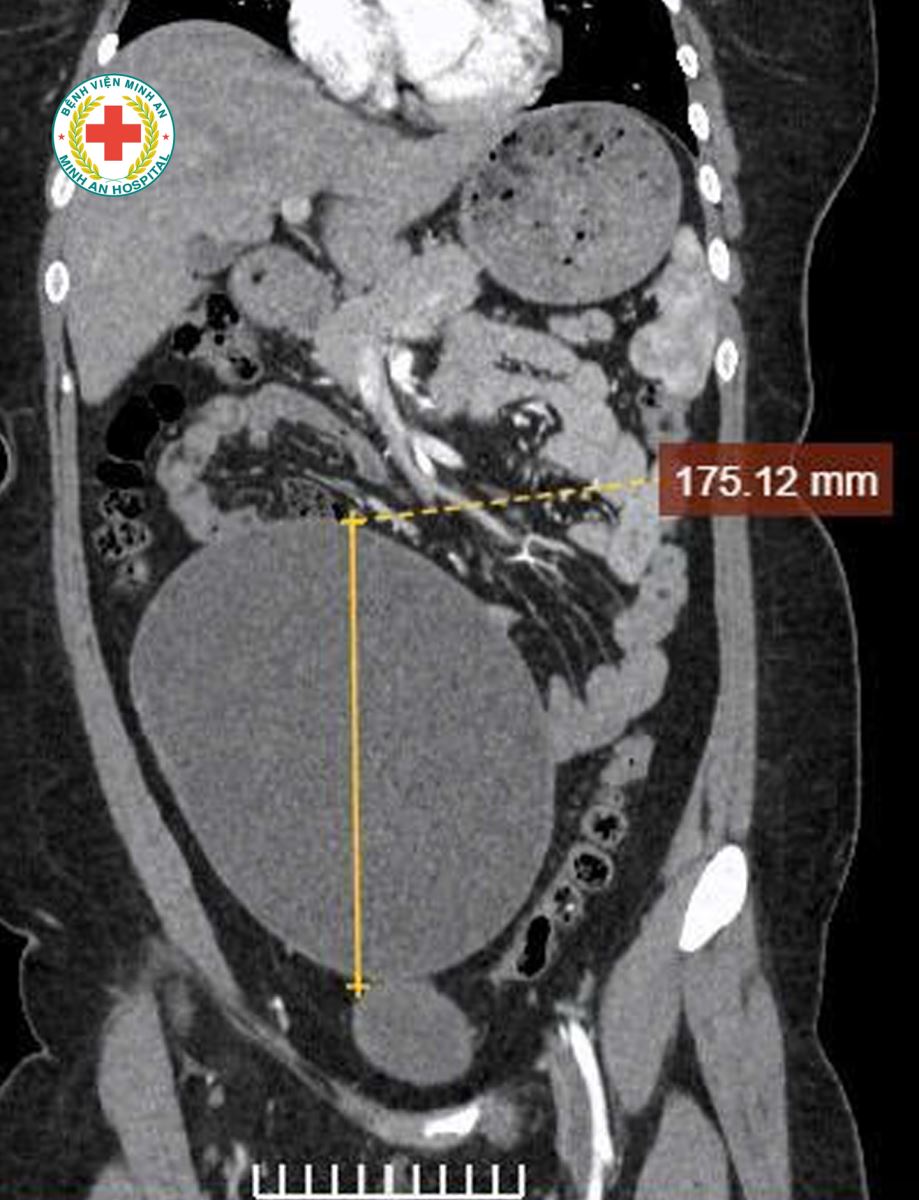
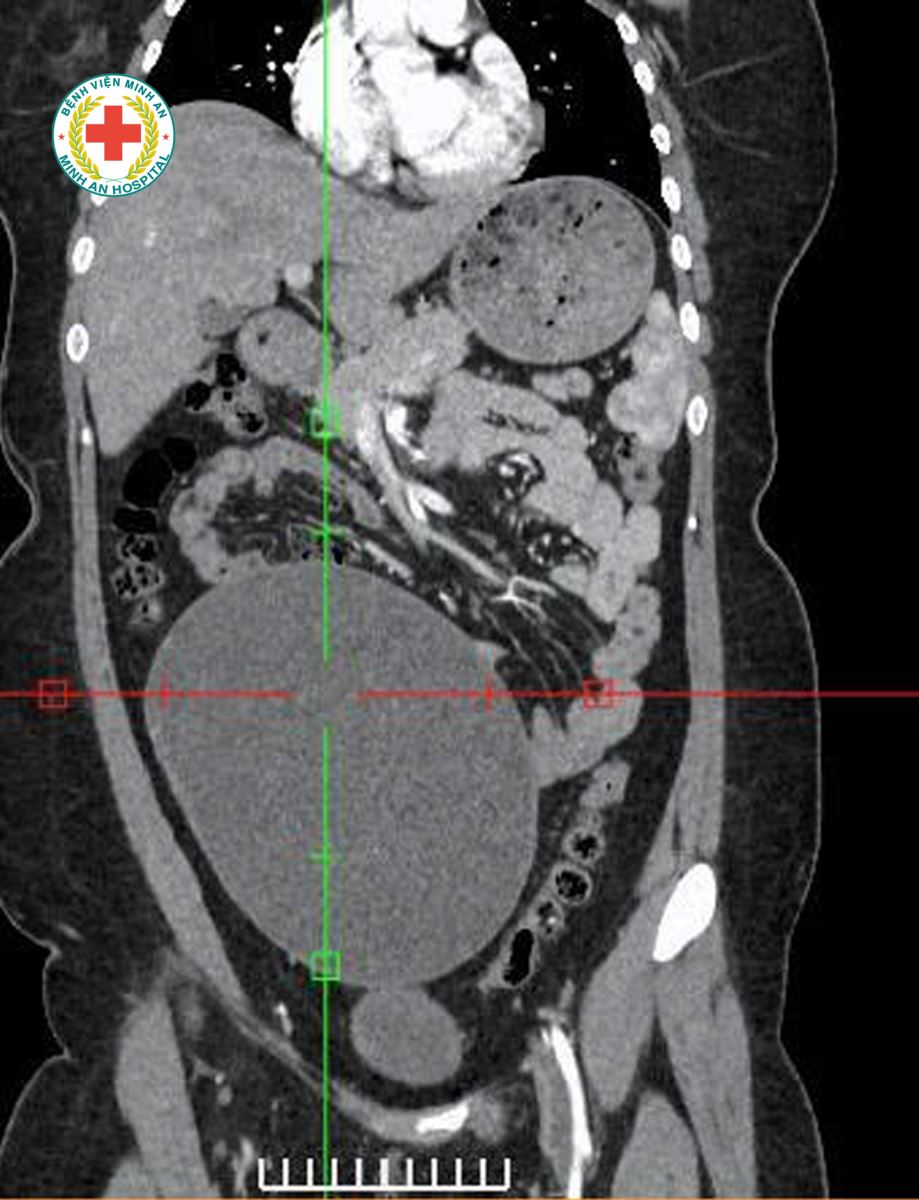
Khoa Sản – BVĐK Minh An vừa tiếp nhận tiếp nhận một trường hợp đặc biệt: U nang buồng trứng kích thước rất lớn, tương đương thai khoảng 20 tuần tuổi, người bệnh gần như không có triệu chứng rõ ràng, chỉ xuất hiện ra máu bất thường ngoài chu kỳ. Điều đáng chú ý là bênh nhân mới 22t, chưa từng sinh nở.


Ngay sau khi thăm khám và chẩn đoán, ekip Khoa Sản do BS Phan Thị Xuân – Phó Trưởng khoa trực tiếp thực hiện đã nhanh chóng đưa ra phương án tối ưu: Phẫu thuật nội soi bóc tách khối u, bảo tồn tối đa buồng trứng, giữ gìn khả năng sinh sản cho người bệnh. Ca phẫu thuật diễn ra an toàn, nhẹ nhàng, người bệnh hồi phục tốt sau mổ.
U nang buồng trứng – Đừng chủ quan vì “không có triệu chứng”U nang buồng trứng là bệnh lý khá phổ biến ở phụ nữ trong độ tuổi sinh sản. Phần lớn là lành tính, nhưng: Có thể phát triển âm thầm, khi kích thước lớn có thể gây xoắn, vỡ u, ảnh hưởng buồng trứng, nguy cơ ảnh hưởng đến thiên chức làm mẹ nếu không xử trí kịp thời. Vì vậy, việc khám phụ khoa định kỳ là vô cùng quan trọng.
Hiện nay, phẫu thuật nội soi u nang buồng trứng đang được triển khai thường quy tại BVĐK Minh An với nhiều ưu điểm:
Ít xâm lấn – ít đau
Hạn chế sẹo, đảm bảo thẩm mỹ
Thời gian hồi phục nhanh
Đặc biệt: bảo tồn tối đa chức năng buồng trứngVới hệ thống nội soi hiện đại cùng đội ngũ bác sĩ giàu kinh nghiệm, mỗi ca phẫu thuật không chỉ là điều trị bệnh – mà còn là giữ gìn tương lai sinh sản cho người phụ nữ.


Nếu bạn có các dấu hiệu như:- Rối loạn kinh nguyệt
- Đau bụng âm ỉ vùng hạ vị
- Ra máu bất thường
Đừng trì hoãn! Hãy đi khám sớm để được phát hiện và điều trị kịp thời.________________________
BỆNH VIỆN ĐA KHOA MINH AN
Dâng trọn con tim!
GPHĐ: 216/BYT-GPHĐ
Quốc lộ 1A, Quỳnh Lưu, Nghệ An
Website: benhvienminhan.com
Tiktok: benhvienminhan_official
Zalo: Bệnh viện đa khoa MINH AN
Hotline: 1900866823
Cấp cứu: 0981154115
CSKH: 0868546986