ĐAU BỤNG HẠ SƯỜN PHẢI – ĐỪNG CHỦ QUAN!
(Phát hiện & xử trí kịp thời SỎI ỐNG MẬT CHỦ GÂY TẮC MẬT tại BVĐK Minh An)Bệnh nhân N.T.H (67 tuổi, Quỳnh Phú – Nghệ An) nhập viện trong tình trạng: đau bụng vùng hạ sườn phải kéo dài, buồn nôn, mệt mỏi, điều trị tại nhà không thuyên giảm.


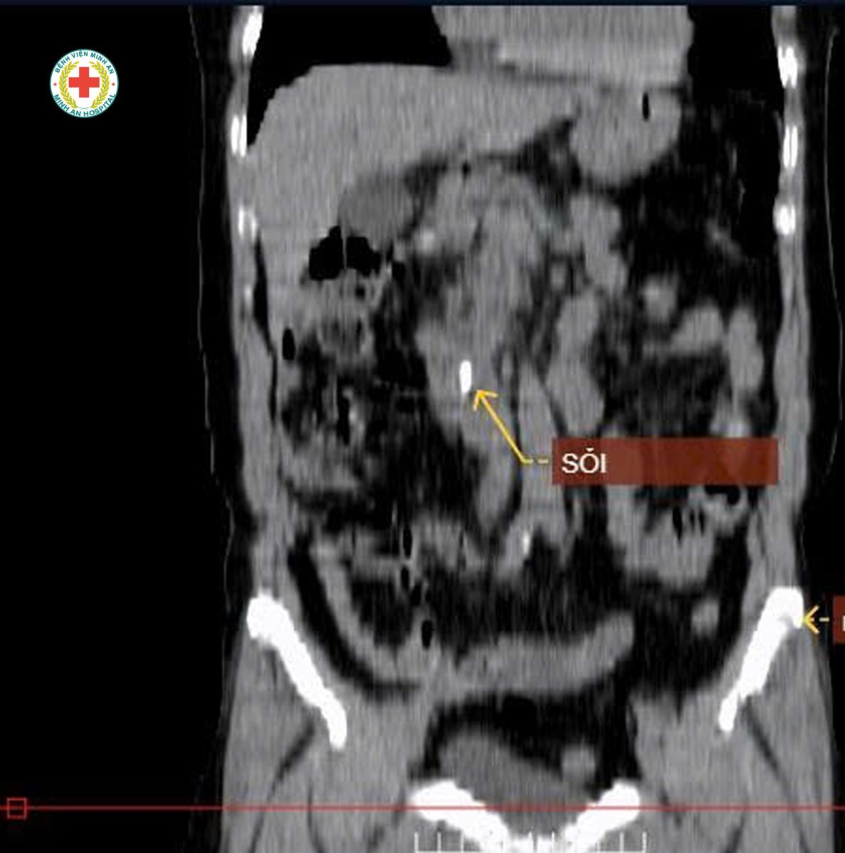
Kết quả thăm khám – cận lâm sàng tại BVĐK Minh An:
Men gan tăng cao bất thường
CT Scanner phát hiện giãn đường mật trong và ngoài gan do sỏi bóng Vater
Chẩn đoán xác định: SỎI ỐNG MẬT CHỦ GÂY TẮC MẬT
Đây là tình trạng tiềm ẩn nhiều nguy cơ nghiêm trọng như: viêm đường mật, nhiễm trùng huyết, suy gan… nếu không được can thiệp kịp thời.
Người bệnh được chỉ định nội soi can thiệp mật tụy ngược dòng (ERCP), lấy thành công viên sỏi kích thước 12 × 7,5 mm, giải phóng tắc mật, giúp triệu chứng cải thiện nhanh chóng và rút ngắn thời gian điều trị
Bác sĩ BVĐK Minh An khuyến cáo: Đau hạ sườn phải, buồn nôn, mệt mỏi kèm men gan tăng cao không đơn thuần là rối loạn tiêu hóa. Người bệnh không nên tự điều trị tại nhà, bởi đây có thể là dấu hiệu của:• Sỏi ống mật chủ
• Tắc mật – viêm đường mật
• Các bệnh lý gan mật nguy hiểm cần được can thiệp sớm
Khám sớm – chẩn đoán đúng – can thiệp kịp thời là chìa khóa giúp phòng ngừa biến chứng nguy hiểm và bảo vệ chức năng gan mật.__________________________
BỆNH VIỆN ĐA KHOA MINH AN
GPHĐ: 216/BYT-GPHĐ
Quốc lộ 1A, Quỳnh Lưu, Nghệ An
Website: benhvienminhan.com
Hotline: 1900866823
Cấp cứu: 0981154115
CSKH: 0868546986